要闻动态Navigation

京医医案 | 得了胆结石不要着急,中西医结合,有望消掉结石!
胆结石属于比较常见的一种结石,尤其是女性,患胆结石的几率相对于男性来说是比较高的,胆结石除了给人造成疼痛之外,还能引发很多严重的并发症,如果长期不重视,对健康也是会有一定隐患的,所以当查出有胆结石要及时治疗,其中有一些中药就可溶解胆结石,今天,请随小编深入了解一下~
近日,李阿姨因“右胁部胀痛”,体检肝胆彩超发现胆囊巨大结石,直径达22mm,就诊多家医院多个科室,均被告知需外科手术切除胆囊。李阿姨焦虑万分,听说北京中医医院内蒙古医院常驻脾胃专家来了,她抱着试试看的心态,来到北京中医医院内蒙古医院脾胃科门诊就诊。


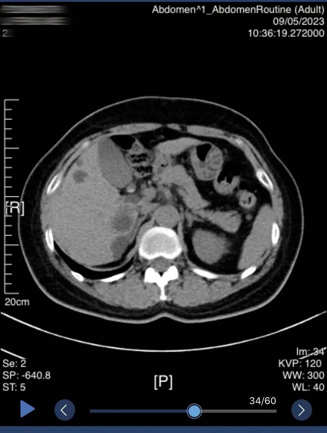
北京常驻专家脾胃病科主任王秋明,详细询问患者既往病史、现症状,进行望闻问切,完善相关辅助检查后,腹部CT示点状高密度结石,巨大结石未显影。王主任告诉李阿姨,这种X线阴性结石以胆固醇成分为主,具有溶石指征,可暂缓手术。经与李阿姨充分沟通后,同意诊疗方案。
李阿姨属湿热蕴阻型胆石症,此症因为湿热蕴结于肝胆,所以会出现恶心,便溏或大便干结,肝胆郁滞日久致胁下痞块,舌苔黄腻……故王秋明主任根据其体质、舌苔、脉象给予清热化湿,疏肝利胆,活血散结中药汤剂治疗来精确溶石,加上熊去氧胆酸胶囊睡前服用,同时制定详细的饮食计划配合治疗。期间复诊1次,王主任再次调整并给出科学、规范、合理的治疗方案。
服药1个月后,李阿姨复查彩超,结果显示胆结石神奇的不见了。李阿姨带着这个好消息来到了王主任门诊,王主任结合临床经验,建议她再继续治疗3个月同时监测肝肾功能。李阿姨表示十分感谢,并积极配合后续治疗,李阿姨激动地表示:“惧怕手术,幸好遇上了医术精湛、医德高尚的王主任,不用手术,对我这样上年纪的老年人真是一大福音啊,非常幸运能遇到这样的好大夫!”


王秋明主任凭借专业的医术和优质的医疗服务,赢得了患者的信赖与支持。这份感谢不仅包含着患者的感激之情,更激励着北京中医医院内蒙古医院全体员工今后将以更加饱满的热情、精湛的医术、优质的服务为居民的健康保驾护航,为建设有温度的医院,持续高质量发展贡献出自己的力量!
北京中医医院内蒙古医院常驻专家脾胃病科主任王秋明温馨提示:
在治疗胆结石期间一定要注意饮食,饮食习惯对胆结石有很大的影响,要避免饮食生冷、油腻、高蛋白、刺激性食物及烈酒,纯素饮食等;建议规律饮食,按时三餐,多喝水。反复发作的胆囊结石,胆囊萎缩、胆囊分隔合并胆囊结石,瓷胆囊、充满型结石等建议手术治疗。排石、溶石须谨慎,一定要在医生指导下治疗。

(北京中医医院内蒙古医院 王秋明供稿)
- 附件: